AL CANNIZZARO DI CATANIA UN INNOVATIVO "MINI-GPS" PER LA CHIRURGIA SENOLOGICA: PRIMA VOLTA NEL SUD ITALIA

Una sorta di “mini-gps”, impiantato nella sede del nodulo mammario, che guida il chirurgo nell’individuare e asportare lesioni tumorali impalpabili: è l’innovativa metodica introdotta, per la prima vo...

A cura di Redazione Redazione
15 aprile 2025 19:34
AL CANNIZZARO DI CATANIA UN INNOVATIVO "MINI-GPS" PER LA CHIRURGIA SENOLOGICA: PRIMA VOLTA NEL SUD ITALIA -
Condividi

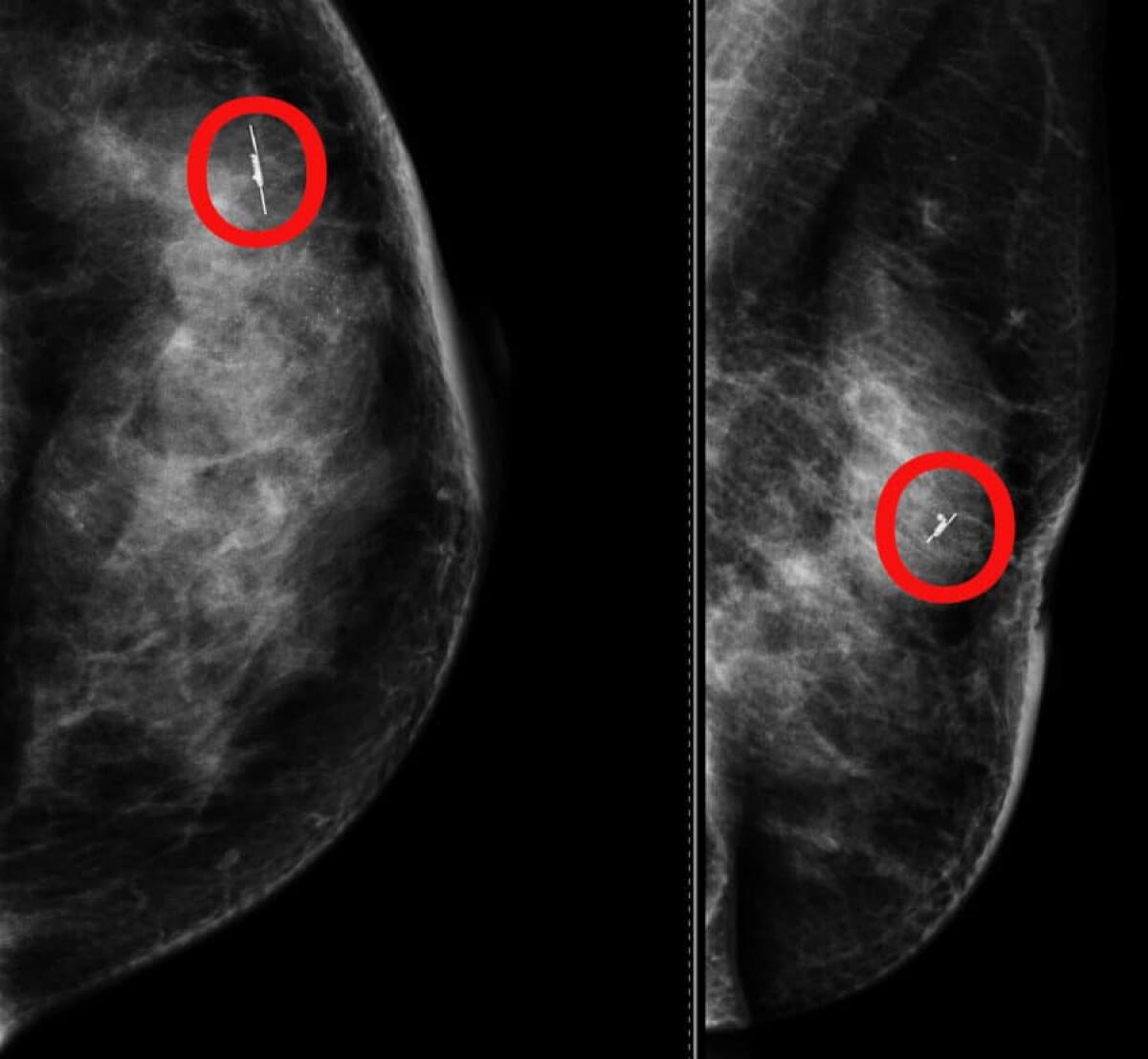
Una sorta di “mini-gps”, impiantato nella sede del nodulo mammario, che guida il chirurgo nell’individuare e asportare lesioni tumorali impalpabili: è l’innovativa metodica introdotta, per la prima volta nel Sud Italia, dall’Unità Operativa Complessa di Senologia dell’Azienda Ospedaliera Cannizzaro, centro hub nella rete regionale delle Breast Unit.

Si tratta di un dispositivo radar utile a individuare in sala operatoria la sede del tumore quando è di dimensioni molto ridotte e quindi non percettibile alla palpazione, ma visibile solo attraverso l’imaging e cioè con mammografia o ecografia.

“Quando i noduli sono molto piccoli, di dimensioni inferiori a un centimetro e non si riesce ad individuarli con la palpazione – spiega la dott.ssa Francesca Catalano, direttore della Senologia – o se una mammella è grande e dunque anche i tumori più grandi sfuggono alla visita senologica e ancora, a seguito della chemioterapia, le lesioni si riducono in misura anche significativa fino a diventare a loro volta impalpabili, in tutti questi casi, il dispositivo è un aiuto fondamentale in sala operatoria perché anche a distanza di mesi mette in condizione di individuare con esattezza il bersaglio.

Quando dovrà operare – continua Catalano – il chirurgo sarà guidato in tempo reale e con massima precisione da una sonda verso la lesione e potrà pertanto ridurre anche la dimensione dell’incisione, beneficio che dal punto di vista onco-plastico è di rilevante importanza per la paziente perché significa avere una cicatrice discreta e meno evidente”

La procedura, già utilizzata alcuni giorni fa sulle prime pazienti, prevede che, durante la biopsia del nodulo sospetto all’imaging, dalla stessa breccia dell’ago da biopsia possa essere introdotto il radar, riducendo così anche gli spostamenti delle pazienti che dunque si recheranno in Ospedale una volta sola per biopsia e identificazione della lesione. Lo stesso può essere applicato nei linfonodi che all’ecografia sono suggestivi per localizzazione metastatica.

Il radar, che si aggiunge a un’altra simile metodica in uso già da un paio d’anni apportando nuove possibilità, emette onde elettromagnetiche non radioattive a infrarossi (IR), funziona con una console che fornisce un feedback uditivo e visivo in tempo reale e viene poi rimosso in sala operatoria insieme al nodulo. Ha già dimostrato la sua efficacia sulle prime pazienti, inviate alla chemioterapia preoperatoria al cui intervento l’équipe chirurgica potrà avvalersi del dispositivo “gps”.